
歯がないところへの治療についてご紹介いたします
歯がないまま放置したり、入れ歯を入れないままにしておくと残っている歯は、
歯がない部分に倒れこみ、かみ合わせを崩します。
かみ合わせが崩れると顎関節に負担がかかり、顎関節症を発症したり、
歯並びが崩れ、虫歯や歯周病が進行してしまう原因にもなります。
一旦崩れた歯並びをもとに戻すには矯正治療を行うか、
倒れこんでしまった歯を削るかしてかみ合わせを修正しなればならず、治療は非常に困難です。



歯が部分の両隣りの歯を削ってかぶせものにし、その歯を利用して歯を補う方法です。
周囲の歯を大きく削らなくてはならず、支えとなる歯に負担をかけてしまいます。
3本以上連続で歯がなかったり、歯がない部分の両隣に歯が ないとブリッジにはできません。
![]() 保険ブリッジ |
![]() セラミックブリッジ |


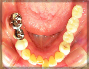
周囲の歯に金具を引っかけて床(ピンクの部分)の上に 人工歯を並べ、歯を補う方法です。
ブリッジと同じく周囲の歯に負担がかかります。
外れやすい、入れ歯が合わないと粘膜が痛くて食事が できない等の欠点があります。
※特別な装置を用いることにより、金具を用いるものより、見た目にも優れ、
より快適な義歯を作製することも可能です。(詳しくはスタッフにお問い合わせ下さい。)
磁石の力によって義歯を安定させます。修理が比較的簡単に行えます。
歯が2,3本しか残ってなくても使用できます。
![]() |
![]() ![]() |
いわゆる「茶筒」のように義歯を固定します。
義歯に不要な揺れが起きず、支えとなる歯かかる負担を軽減できます。
![]() |
![]() ![]() |
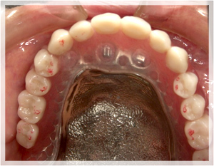
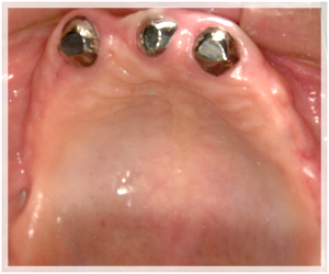
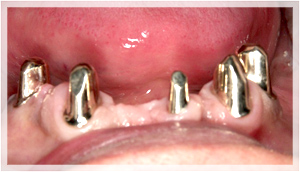
骨の中に直接人口歯根(インプラント)を埋め込み、
顎の骨としっかり固定させた後、そのうえに人工の歯を装着する方法です。
外科処置が必要となりますが、義歯のように取り外しの億劫さがなくなり、
ブリッジのように両隣りの歯に負担をかけずにすむのが特徴です。
![]() |
![]() |
|
| 術前 | 術後 |
| ブリッジ | 入れ歯 | インプラント | |
| 費用 | 安い(保険適応可) ※一部保険適応外 |
安い(保険適応可) ※一部保険適応外 |
高い ※完全保険外診療 |
| 見た目 | ×(保険だと金属色) ※保険適応外ブリッジは 白い歯を作ることは可能 |
×(保険だと金具が目立つ) ※保険適応外であれば 金具が目立たない入れ歯の 作製は可能 |
○ |
| 機能 | △(固定式) | ×(取り外し式) | ○(固定式) |
| 難易度 | 比較的簡単 | 簡単 | 困難 |
| 期間 | 1ヶ月~2か月 | 1ヶ月~2か月 | 3か月以上 |
| 寿命 | △ | × | ○ |
| メリット | ・保険適応なので経済的 ※一部保険適応外 ・固定式で修復でき違和感が少ない ・ある程度しっかり噛める ・短期間で修復可能 |
・保険適応なので経済的 ※一部保険適応外 ・短期間で修復可能 ・簡単 ・広い適応範囲 ・歯をほとんど削らずに作製可能 |
・固定式でしっかり噛める ・着脱の煩わしさがない ・高い審美性 ・他の歯に負担をかけないことにより残っている歯を守ることが出来る ・噛みあわせが安定する ・歯を削らずに修復可能 |
| デメリット | ・適応範囲が限られる ※欠損部の両隣の歯がなければ作製不可 ・保険では銀歯となり見た目が悪い ・歯を大きく削らなければならない ・支えとなる歯に多大な負担がかかる事により寿命を縮めてしまう事がある |
・取り外しが億劫 ・金具が見えると見た目が悪い ・入れ歯が揺れやすく、粘膜に食い込んで痛みが出ることがある ・噛みにくい ・支えとなる歯に多大な負担がかかる事により寿命を縮めてしまう事がある |
・保険適応外なので高額 ・治療期間が長期に渡ることがある ・外科処置が必要 ・全身状態によっては治療不可 |
| 費用 | 安い(保険適応可) ※一部保険適応外 |
| 見た目 | ×(保険だと金属色) ※保険適応外ブリッジは白い歯を作ることは可能 |
| 機能 | △(固定式) |
| 難易度 | 比較的簡単 |
| 期間 | 1ヶ月~2か月 |
| 寿命 | △ |
| メリット | ・保険適応なので経済的 ※一部保険適応外 ・固定式で修復でき違和感が少ない ・ある程度しっかり噛める ・短期間で修復可能 |
| デメリット | ・適応範囲が限られる ※欠損部の両隣の歯がなければ作製不可 ・保険では銀歯となり見た目が悪い ・歯を大きく削らなければならない ・支えとなる歯に多大な負担がかかる事により寿命を縮めてしまう事がある |
| 費用 | 安い(保険適応可) ※一部保険適応外 |
| 見た目 | ×(保険だと金具が目立つ) ※保険適応外であれば金具が目立たない入れ歯の作製は可能 |
| 機能 | ×(取り外し式) |
| 難易度 | 簡単 |
| 期間 | 1ヶ月~2か月 |
| 寿命 | × |
| メリット | ・保険適応なので経済的 ※一部保険適応外 ・短期間で修復可能 ・簡単 ・広い適応範囲 ・歯をほとんど削らずに作製可能 |
| デメリット | ・取り外しが億劫 ・金具が見えると見た目が悪い ・入れ歯が揺れやすく、粘膜に食い込んで痛みが 出ることがある ・噛みにくい ・支えとなる歯に多大な負担がかかる事により寿命を縮めてしまう事がある |
| 費用 | 高い※完全保険外診療 |
| 見た目 | ○ |
| 機能 | ○(固定式) |
| 難易度 | 困難 |
| 期間 | 3か月以上 |
| 寿命 | ○ |
| メリット | ・固定式でしっかり噛める ・着脱の煩わしさがない ・高い審美性 ・他の歯に負担をかけないことにより残っている歯を守ることが出来る ・噛みあわせが安定する ・歯を削らずに修復可能 |
| デメリット | ・保険適応外なので高額 ・治療期間が長期に渡ることが ある ・外科処置が必要 ・全身状態によっては治療不可 |
当院では残存歯の保護、機能、審美(見た目)、長期予後(長持ち)の観点からインプラント治療を推奨しています。