
マウスピース歯列矯正/インビザライン治療についてご紹介いたします
インビザライン フル(全顎)システムは
全顎を対象としたマウスピース歯列矯正治療です。
臼歯の移動が可能なため、比較的幅広い症例に対応が可能です。
軽度な症状から比較的複雑な症例まで、
歯全体の矯正が必要な患者様に対応可能なシステムです。
インビザライン フルでは、作成可能なアライナーの枚数は無制限です。
難しい症例において、新たにアライナーが必要になった場合でも対応可能です。
治療期間にも制限がないため、治療過程で生じる微調整などについても、
患者様が安心して治療ができるよう進めていくことができます。

インビザライン フルでは、柔軟に治療計画を変更できます。
治療経過によって柔軟に対応ができますので患者様に安心していただけます。
重度の歯列不正がある方(骨格性上顎前突、下顎前突等)は適応外です。
また、抜歯を必要とするような重度の叢生は治療が困難です。
また、アライナーが無制限に作成可能なだけでなく、治療期間を延長することも可能なため、
場合によっては治療にかかる費用が高額になります。
CBCT統合機能はインビザライン フルにのみ対応した機能です。
iTero口腔内スキャナーで取り込んだ口腔内データを使用し、CBCT撮影を行ないDICOM(ダイコム)出力を行います。
この「CBCT統合機能」により、歯根、歯槽骨、歯冠を単一の3Dモデルに統合し、
デジタル治療計画プロセスの一環として
患者様の歯根を視覚化することが可能となりました。
歯と骨組織を正確に診断が可能な「CBCT統合機能」によってリスク回避も可能になり、
精密性・効率性・適切性・信頼性などが向上し、
より安全で正確な治療計画を設計することが可能となりました。
| 痛み | あり |
| 歯のお手入れ | 難しい |
| 適応 | 広い |
| 審美性 | ワイヤーが目立つ |
| 治療費 | 約1,000,000円前後 ※状態によって異なります |
| 痛み | 比較的少ない |
| 歯のお手入れ | 簡単 |
| 適応 | 重度の歯列不正は治療が困難 |
| 審美性 | 透明で目立たない |
| 治療費 | ¥880,000~(総額) |
| 診断費用 | ¥55,000 |
| 基本矯正治療料金+保定管理料 | ¥825,000~ |
| 合計 | ¥880,000~ |

口腔内スキャナーを用いて、口腔内のデジタルスキャンを行います。
最新のソフトウエアを使用し、コンピューター上で簡易シミュレーションを行います。
![]() 口腔内スキャン |
![]() 簡易シミュレーション |



出来上がったアライナーをお渡し致します。(通常4セット程度) 
治療が終了し歯並びが整ったら、一定期間は保定装着を装着して頂き後戻りを防ぎます。 最初の1年程度は食事以外の時間、1年経過後は夜間保定装置を使用して下さい。
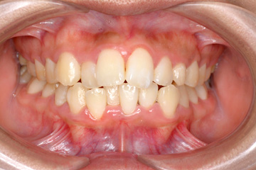
![]() 治療前 |
![]() 治療後 |
| 主訴 | 前歯の歯並びを治したい |
| 治療内容 | インビザラインシステム 奥歯の咬み合わせに問題がなかったため、第二小臼歯から前方の歯並びを改善しました。 便宜抜歯は行っておりません。 |
| 治療期間 | 約10か月 |
| リスク、副作用 | 適応症に限りがあります。 治療中適切に口腔ケアを行わないとむし歯、歯周病が進行する恐れがあります。 アライナーの装着時間が不適切な場合、計画通りに歯が動かないおそれがあります。 |
| 治療費 | ¥880,000(税込) |