
輝く白い歯で笑顔に自信を
歯は加齢や生活習慣などによって、徐々に黄色や黒に着色していきます。
ホワイトニングには、過酸化水素を主成分としたホワイトニング剤が使用されます。
過酸化水素は歯に塗布されると酸素と水に分解されますが、この酸素が歯の色素と結びつくことによって、色素が分解され、着色汚れが除去されます。
さらに、この過程で生じる活性酸素が、歯のエナメル質に光を乱反射させ、黄色みの強い象牙質の色をカバーします。
歯の色素だけを分解して除去するので、歯を傷めずに白くできるところが特徴です。
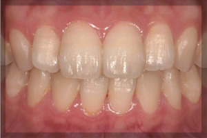
![]() |
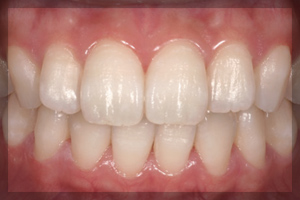
![]() |
|
| Before | After |
上下トレー+ホワイトニングジェル8本+トレーケース+ポーチ付き
当院で作製したトレーとホワイトニングジェルで、ご自宅でご自身で行うホワイトニングです。
低濃度のホワイトニング剤を使用するので、一気に歯を白くすることはできず、白さを実感するまでに2週間以上の期間を必要とします。
<メリット>
*痛みが少ない、後戻りがオフィスホワイトニングに比べると少ない、安定性がある
<デメリット>
*毎日装着するので面倒くさがり屋の人には不向き
1、 歯面清掃後、上下の歯型をとりマウスピースを作成する(5日ほどかかります)
2、 後日マウスピースとホワイトニングジェルをお渡しいたします
3、 あとはご自宅にてご自分で装着し、ホワイトニング開始です
![]() |
![]() |
| 追加ホワイトニングジェル1ケース(4本入り) | 10,000円+税 |
| 追加トレー作製(片顎) | 5,000円+税 |
オパールエッセンスを使用した、1日限りのディスポーサブルタイプの処置を行います。
10分程度で治療は終了いたします。
*歯の表面を覆っている被膜(ペリクル)は、ホワイトニングで除去されますが、
12時間から24時間かけて 再生されます。再生するまでは色の濃い食べ物、飲み物は控えてください。
1:喫煙
禁煙してください。
2:色の濃いもの
コーヒー、紅茶、日本茶、コーラ、赤ワイン、ジュース類、ヤキソバ、カレーライス、焼肉、やきとり、
みそ・醤油ラーメン、チョコレート、大福、味噌汁、トマトなどの色の濃い野菜、
ぶどう・イチゴなどの色の濃い果物、しょうゆ、からし、わさび、口紅、色つきのはみがき粉、うがい薬
etc・・・
*ホワイトニングの効果をなるべく持続させるためにPMTCや定期的なクリーニングをお勧めしております。
| ホワイトニングが出来ない方 |
| 無カタラーゼ症 妊婦、授乳中の方 喘息 小児 重度の歯肉炎や歯周病の方 光線過敏症 |