
当院の歯周病治療についてご紹介いたします

歯周病とは、歯茎・歯を支える骨などの組織が、
歯周病菌に感染し炎症をおこす感染症で、
一般的には歯槽膿漏と呼ばれる病気です。
歯周病は日本の成人の80%以上の方がかかっているといわれ、
世界的に見てもギネスに載るくらいたくさんの方がこの病気に悩まされています。
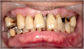
初期ではほとんど症状はありませんが、放置すると進行し、歯が揺れ始め、
硬いものが 噛みにくくなり、最終的には歯の位置が変わってしまったり、
自然に抜けてしまう恐れすらある恐ろしい病気なのです。
歯周病は進行の度合いによって次のように分けられます。

歯肉が赤く腫れ上がってしまい、
歯ブラシなどで歯肉から出血しやすくなります。

歯肉が赤黒くなってしまいます。
口臭がひどくなり、口の中が粘っこく感じられます。
この時点から歯を支える骨(歯槽骨)の吸収が始まります。

歯が動くようになり、咬みづらくなります。
歯肉に膿がたまり、急激な痛みが生じてしまうことがあります。
通常この状態から何らかの異常を感じ始めます。

歯槽骨が吸収されて、歯が支えられなくなります。
歯がグラグラ動いてしまい、自然に抜けてしまうこともあります。
この状態まで進行してしまいますと、歯の保存は非常に困難となってしまいます。
歯周病が進行し、破壊された組織を元の状態に戻すのは非常に困難です。
歯槽骨の破壊が起こる前の歯肉炎の状態で治療を開始する事が非常に重要なのです。
歯周病は口腔内のみの疾患にとどまりません。
以下のような様々な全身疾患と深い関わりがあると言われています。
歯周病を適切に治療することが全身の健康を維持、増進することにつながります。

このように歯周病は口腔内のみならず全身の健康をも脅かします。
永く質の高い生活を送っていただくためにも歯周病はしっかり治療していくことが重要なのです。

歯周病の直接的な原因は歯垢(プラーク)です。
歯垢はバイオフィルムともいい、細菌の塊です。
このプラークが体液中のカルシウムを取り込んで石灰化していくと歯石となります。
歯石自体が感染源となる事はありませんが、プラークの温床となってしまいます。
歯周病治療の基本はこの歯垢を徹底的に除去することから始めていきます。
お痛みがある場合、その部分の消毒や洗浄を行い、お薬をお出しして炎症を抑えます。
口腔内や歯肉、口腔清掃状態の検査、レントゲン写真の撮影を行い、口腔内、歯肉の 全体的なチェックを行います。

説明の様子
現時点での状態をご説明致します。
その後担当衛生士から歯ブラシの方法などを丁寧にお話いたします。

治療の様子
歯科衛生士、歯科医師が専用の機械を用い歯垢と歯石を除去し、歯を磨きあげます。
炎症の強い部位には歯周ポケットの消毒もあわせて行います。
再度全体的な歯肉のチェックを行い、歯肉がどれくらい改善したか確認します。
歯肉の腫れや炎症が残っているようでしたら、必要に応じて更なる歯石の除去、歯周ポケットの消毒を行います。
GBTは、複数の無作為比較試験によって個別に証明された治療ステップに基づいた、
従来のPMTC(歯石除去・歯面清掃)とは異なるアプローチの治療フローのことです。
具体的なステップをこちらでご紹介します。
バイオフィルムを可視化することでターゲットを絞って除去し、患者さんのモチベーションを高めます。
可視化しない歯 石除去・歯面清掃(PMTC)を行った場合に比べて格段に良い結果が得られます。

バイオフィルムは口腔疾患の主な原因であるため、まずは原因を取り除くことから始めます。
専用の器具を利用したエアフローによって、歯肉縁上および歯肉縁下のバイオフィルムの除去がこれまでよりも
より速く、歯肉にやさしく、侵襲も最小限に抑えた状態で完了が出来ます。
歯のメンテナンスに非常に向いた手法として、採用されています。
また、歯周炎やインプラント周囲炎においても、エアフローでのメンテナンスは非常に良い結果が得られています。

歯を保護しながら、ピエゾンチップという器具でターゲットを絞って歯石を除去します。
これまでより早く歯石除去を行うことができ、患者さんも快適に治療が受けられます。
バイオフィルムを事前に除去することで歯石の除去がやりやすくなります。
また、これまでのPMTCの器具では研磨剤を使用しているので、
長期間に及ぶ繰り返しのPMTCメンテナンスは象牙質だけでなくエナメル質にも研磨が及ぶ可能性がありました。
しかし、GBTでは歯面を研磨する工程もないためこれまで以上に歯面を保護することができます。
